El compromiso neurológico es común en los individuos con mucopolisacaridosis (MPS) y puede aparecer como uno de los primeros síntomas de la enfermedad. Es importante que el neurólogo tenga en cuenta la MPS en su variedad de presentaciones, ya que los patrones de compromiso neurológico varían considerablemente según el subtipo de MPS. La MPS puede presentarse con o sin discapacidad intelectual y, en algunos subtipos, el compromiso del sistema nervioso central se debe principalmente a la subluxación de la columna cervical y a la compresión medular.1-3
Junto con estos signos y síntomas neurológicos comunes, los siguientes también deben aumentar la sospecha de MPS1:
Imagen de resonancia magnética nuclear de un paciente con MPS donde se observa hidrocefalia supratentorial acentuada.
Cortesía de Dr. Grimaldi M. y Dr. Parini R. (Monza).
Imagen de resonancia magnética nuclear de la unión craneocervical con la cabeza en posición neutral (izquierda) y con la flexión de la cabeza hacia el cuello (derecha), donde se muestra una reducción del diámetro del canal vertebral canal en la unión craneocervical con la resultante compresión de la médula espinal.
Cortesía de Dr Grimaldi M. and Dr Parini R. (Monza).
Imagen de resonancia magnética nuclear donde se observa un agrandamiento de los espacios perivasculares, especialmente significativos en los núcleos de la base, no vinculado a ningún compromiso funcional significativo en este paciente adulto con MPS.
Cortesía de Dr Grimaldi M. and Dr Parini R. (Monza).
Los síntomas respiratorios son frecuentes en personas con mucopolisacaridosis (MPS) y pueden llevar a un diagnóstico de MPS. La obstrucción de las vías aéreas y la insuficiencia respiratoria son rasgos distintivos de MPS y pueden avanzar con el curso de la enfermedad.1
Los trastornos respiratorios son comunes en la mayoría de tipos de MPS y se manifiestan de varias maneras, incluyendo vías aéreas estrechas y trastornos respiratorios durante el sueño.2
Junto con estos signos y síntomas respiratorios comunes, los siguientes también deben aumentar la sospecha de MPS:
Radiografía de tórax anteroposterior en una paciente de 11 años con MPS VI donde se observan costillas gruesas pero no con forma de pala y clavículas gruesas.
Fuente: Skeletal Radiology, volume 43, issue 3. Lachman RS, Burton BK, Clarke LA, Hoffinger S, Ikegawa S, Jin D-K, Kano H, Kim O-H, Lampe C, Mendelsohn NJ, Shediac R, Tanpaiboon P, White KK. Mucopolysaccharidosis IVA (Morquio A syndrome) and VI (Maroteaux-Lamy syndrome): under-recognized and challenging to diagnose. Pages 359-369. Copyright (C) Lachman RS, Burton BK, Clarke LA, Hoffinger S, Ikegawa S, Jin D-K, Kano H, Kim O-H, Lampe C, Mendelsohn NJ, Shediac R, Tanpaiboon P, White KK 2014.
Tomografía computada de detector múltiple de la tráquea en pacientes con MPS.
Cortesía de Dr Grimaldi M. and Dr Parini R. (Monza).
Las manifestaciones en Otorrinolaringología son comunes en individuos con mucopolisacaridosis (MPS) y a menudo son de los primeros síntomas en aparecer. Las manifestaciones comunes incluyen, aunque no se limitan a, hipertrofia adenotonsilar, infecciones frecuentes de las vías aéreas y pérdida auditiva.1,2
Cualquier cantidad de síntomas en ONG, especialmente si aparecen junto con otros signos y síntomas sistémicos, debe indicar una rápida consulta al genetista o centro del metabolismo.3,4 Junto con estos signos respiratorios y en ONG comunes, las siguientes características también deben aumentar sus sospecha de MPS5:
Tomografía computada del oído de un paciente con MPS.
Cortesía de Dr Grimaldi M. and Dr Parini R. (Monza).
Las manifestaciones oculares a menudo aparecen antes de otras características de mucopolisacaridosis (MPS) y varían según el tipo y severidad de enfermedad MPS. La opacidad corneal es un rasgo distintivo de MPS.1
Las características oculares—que a menudo llevan a una deficiencia visual—han sido descriptas en todos los tipos de MPS y deben generar una sospecha de MPS.
Las manifestaciones oculares más comunes incluyen las siguientes2:
Las características óseas y articulares son comunes desde los primeros estadios de la enfermedad en pacientes con la mayoría de tipos de mucopolisacaridosis (MPS). Los pacientes con estos tipos de manifestaciones musculoesqueléticas generalmente consultan un reumatólogo—y a menudo lo hacen antes del diagnóstico de MPS.1
El compromiso reumatológico es progresivo de manera uniforme, y la incidencia y severidad progresan con el paso del tiempo. A pesar de que los pacientes con MPS normalmente presentan una variedad o conjunto de síntomas, algunos síntomas aislados son suficientes para realizar una consulta al genetista o al centro del metabolismo.1,2
Los signos y síntomas pueden ser sutiles o manifiestos. Los rasgos óseos y articulares comunes para una sospecha de MPS incluyen1:
Además, los reumatólogos deben tener en cuenta cualquiera de estos signos en los pacientes para considerar una derivación por MPS:
Manifestaciones de disostosis múltiple en las manos. La radiografía muestra las manos de un paciente con MPS en la niñez, con afilamiento proximal moderadamente severo y metacarpianos expandidos con cortezas delgadas.
Reproducido con permiso de Lachman, J Pediatr Rehabil Med, 2010.
Radiografía de pelvis y cadera anteroposterior en un paciente de 27 años con Morquio A, donde se muestra epífisis femoral capital levemente displásica con estrechamiento del espacio articular y esclerosis (artrosis degenerativa).
Fuente: Skeletal Radiology, volume 43, issue 3. Lachman RS, Burton BK, Clarke LA, Hoffinger S, Ikegawa S, Jin D-K, Kano H, Kim O-H, Lampe C, Mendelsohn NJ, Shediac R, Tanpaiboon P, White KK. Mucopolysaccharidosis IVA (Morquio A syndrome) and VI (Maroteaux-Lamy syndrome): under-recognized and challenging to diagnose. Pages 359-369. Copyright (C) Lachman RS, Burton BK, Clarke LA, Hoffinger S, Ikegawa S, Jin D-K, Kano H, Kim O-H, Lampe C, Mendelsohn NJ, Shediac R, Tanpaiboon P, White KK 2014.
El compromiso cardíaco es común en individuos con mucopolisacaridosis (MPS) y lleva a una gran morbidez, y potencialmente, a la muerte prematura. Por lo tanto, la sospecha temprana es fundamental, independientemente de si los signos cardíacos se presentan aislados o en combinación con otros síntomas.1
Los hallazgos cardíacos más comunes en MPS, según el informe de una evaluación realizada en 28 pacientes de entre 2 y 14 años fueron1
Junto con los signos cardíacos comunes anteriores, los signos que aparecen a continuación deben aumentar el grado de sospecha de MPS:
Cortesía de Dr. Russo P. y Dr. Parini R. (Monza).
Cortesía de Dr. Russo P. y Dr. Parini R. (Monza).
Tradicionalmente, la mucopolisacaridosis (MPS) está asociada a un conjunto de signos y síntomas conocido como disostosis múltiple, con excepción de MPS III. Sin embargo, el reconocimiento de síntomas esqueléticos tempranos y no clásicos previos a una progresión esquelética más robusta puede permitir la identificación temprana y la rápida consulta a un genetista o a un centro del metabolismo.1
La mayoría de los tipos de MPS se caracteriza por anormalidades esqueléticas y trastornos articulares con rasgos distintivos de disostosis múltiple.1,2
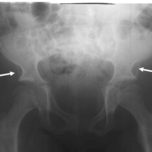
Radiografía donde se observan manifestaciones de disostosis múltiple en la pelvis y cadera de un paciente con MPS. Crestas ilíacas redondeadas, paredes laterales ilíacas de doble contorno (flechas), y cuellos femorales elongados.
Reproducido con permiso de Lachman, J Pediatr Rehabil Med, 2010.
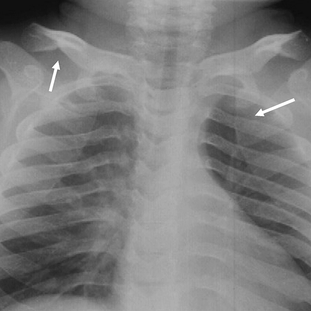
Radiografía de tórax de un paciente con MPS donde se observan costillas en forma de pala y clavículas cortas y engrosadas (flechas).
Reproducido con permiso de Lachman, J Pediatr Rehabil Med, 2010.
Radiografía de pelvis y cadera anteroposterior en un paciente de 27 años con Morquio A, donde se muestra epífisis femoral capital levemente displásica con estrechamiento del espacio articular y esclerosis (artrosis degenerativa).
Fuente: Skeletal Radiology, volume 43, issue 3. Lachman RS, Burton BK, Clarke LA, Hoffinger S, Ikegawa S, Jin D-K, Kano H, Kim O-H, Lampe C, Mendelsohn NJ, Shediac R, Tanpaiboon P, White KK. Mucopolysaccharidosis IVA (Morquio A syndrome) and VI (Maroteaux-Lamy syndrome): under-recognized and challenging to diagnose. Pages 359-369. Copyright (C) Lachman RS, Burton BK, Clarke LA, Hoffinger S, Ikegawa S, Jin D-K, Kano H, Kim O-H, Lampe C, Mendelsohn NJ, Shediac R, Tanpaiboon P, White KK 2014.
Independientemente del cuadro clínico, existen signos manifiestos y generalmente observables que deben generar sospecha de la enfermedad mucopolisacaridosis (MPS), entre los que se encuentran1-18
La consideración de MPS en base a patrones de signos y síntomas sospechosos es el primer paso para llegar a un diagnóstico definitivo de enfermedad MPS específica. Es de fundamental importancia reconocer la naturaleza heterogénea de la enfermedad de progresión lenta para acortar el tiempo hasta el diagnóstico en muchos pacientes.3
References: 1. Berger KI, Fagondes SC, Giugliani R, et al. Respiratory and sleep disorders in mucopolysaccharidosis. J Inherit Metab Dis. 2013;36(2):201-210. doi:10.1007/s10545-012-9555-1. 2. Mesolella M, Cimmino M, Cantone E, et al. Management of otolaryngological manifestations in mucopolysaccharidoses: our experience. Acta Otorhinolaryngol Ital. 2013;33(4):267-272. 3. Lehman TJA, Miller N, Norquist B, Underhill L, Keutzer J. Diagnosis of the mucopolysaccharidoses. Rheumatology. 2011;50(suppl 5):v41-v48. 4. Wood TC, Harvey K, Beck M, et al. Diagnosing mucopolysaccharidosis IVA. J Inherit Metab Dis. 2013;36(2):293-307. doi:10.1007/s10545-013-9587-1. 5. Muenzer J. Early initiation of enzyme replacement therapy for the mucopolysaccharidoses. Mol Genet Metab. 2014;111(2):63-72. doi:10.1016/j.ymgme.2013.11.015. 6. Hendriksz CJ, Al-Jawad M, Berger KI, et al. Clinical overview and treatment options for non-skeletal manifestations of mucopolysaccharidosis type IVA. J Inherit Metab Dis. 2013;36(2):309-322. doi:10.1007/s10545-012-9459-0. 7. Simmons MA, Bruce IA, Penney S, Wraith E, Rothera MP. Otorhinolaryngological manifestations of the mucopolysaccharidoses. Int J Pediatr Otorhinolaryngol. 2005;69(5):589-595. doi:10.1016/j.ijporl.2005.01.017.
References: 1. Muenzer J. The mucopolysaccharidoses: a heterogeneous group of disorders with variable pediatric presentations. J Pediatr. 2004;144(suppl 5):S27-S34. 2. Lachman RS, Burton BK, Clarke LA, et al. Mucopolysaccharidosis IVA (Morquio A syndrome) and VI (Maroteaux-Lamy syndrome): under-recognized and challenging to diagnose. Skeletal Radiol. 2014;43(3):359-369. doi:10.1007/s00256-013-1797-y. 3. Thümler A, Miebach E, Lampe C, et al. Clinical characteristics of adults with slowly progressing mucopolysaccharidosis VI: a case series. J Inherit Metab Dis. 2012;35(6):1071-1079. doi:10.1007/s10545-012-9474-1. 4. Montaño AM, Tomatsu S, Gottesman GS, Smith M, Orii T. International Morquio A Registry: clinical manifestation and natural course of Morquio A disease. J Inherit Metab Dis. 2007;30(2):165-174. doi:10.1007/s10545-007-0529-7. 5. Kinirons MJ, Nelson J. Dental findings in mucopolysaccharidosis type IV A (Morquio’s disease type A). Oral Surg Oral Med Oral Pathol. 1990;70(2):176-179. 6. Hendriksz CJ, Berger KI, Giugliani R, et al. International guidelines for the management and treatment of Morquio A syndrome. Am J Med Genet Part A. 2014;9999A:1-15. doi:10.1002/ajmg.a.36833. 7. Lachman R, Martin KW, Castro S, Basto MA, Adams A, Teles EL. Radiologic and neuroradiologic findings in the mucopolysaccharidoses. J Pediatr Rehabil Med. 2010;3(2):109-118. doi:10.3233/PRM-2010-0115. 8. Hendriksz C. Improved diagnostic procedures in attenuated mucopolysaccharidosis. Br J Hosp Med. 2011;72(2):91-95. 9. Cimaz R, Coppa GV, Koné-Paut I, et al. Joint contractures in the absence of inflammation may indicate mucopolysaccharidosis [hypothesis]. Pediatr Rheumatol Online J. 2009;7:18. doi:10.1186/1546-0096-7-18. 10. Fahnehjelm KT, Ashworth JL, Pitz S, et al. Clinical guidelines for diagnosing and managing ocular manifestations in children with mucopolysaccharidosis. Acta Ophthalmol. 2012;90(7):595-602. doi:10.1111/j.1755-3768.2011.02280.x. 11. Zafeiriou DI, Batzios SP. Brain and spinal MR imaging findings in mucopolysaccharidoses: a review. AJNR Am J Neuroradiol. 2013;34(1):5-13. doi:10.3174/ajnr.A2832. 12. Braunlin EA, Harmatz PR, Scarpa M, et al. Cardiac disease in patients with mucopolysaccharidosis: presentation, diagnosis and management. J Inherit Metab Dis. 2011;34(6):1183-1197. doi:10.1007/s10545-011-9359-8. 13. Braunlin E, Orchard PJ, Whitley CB, Schroeder L, Reed RC, Manivel JC. Unexpected coronary artery findings in mucopolysaccharidosis. Report of four cases and literature review. Cardiovasc Pathol. 2014;23(3):145-151. doi:10.1016/j.carpath.2014.01.001. 14. Mesolella M, Cimmino M, Cantone E, et al. Management of otolaryngological manifestations in mucopolysaccharidoses: our experience. Acta Otorhinolaryngol Ital. 2013;33(4):267-272. 15. Berger KI, Fagondes SC, Giugliani R, et al. Respiratory and sleep disorders in mucopolysaccharidosis. J Inherit Metab Dis. 2013;36(2):201-210. doi:10.1007/s10545-012-9555-1. 16. Lehman TJA, Miller N, Norquist B, Underhill L, Keutzer J. Diagnosis of the mucopolysaccharidoses. Rheumatology. 2011;50(suppl 5):v41-v48. 17. Martins AM, Dualibi AP, Norato D, et al. Guidelines for the management of mucopolysaccharidosis type I. J Pediatr. 2009;155(4)(suppl 2):S32-S46. doi:10.1016/j.jpeds.2009.07.005. 18. Clarke LA, Winchester B, Giugliani R, Tylki-Szymańska A, Amartino H. Biomarkers for the mucopolysaccharidoses: discovery and clinical utility. Mol Genet Metab. 2012;106(4):396-402. doi:10.1016/j.ymgme.2012.05.003.
References: 1. Lachman RS, Burton BK, Clarke LA, et al. Mucopolysaccharidosis IVA (Morquio A syndrome) and VI (Maroteaux-Lamy syndrome): under-recognized and challenging to diagnose. Skeletal Radiol. 2014;43(3):359-369. doi:10.1007/s00256-013-1797-y. 2. Lachman R, Martin KW, Castro S, Basto MA, Adams A, Teles EL. Radiologic and neuroradiologic findings in the mucopolysaccharidoses. J Pediatr Rehabil Med. 2010;3(2):109-118. doi:10.3233/PRM-2010-0115.
References: 1. Zafeiriou DI, Batzios SP. Brain and spinal MR imaging findings inmucopolysaccharidoses: a review. AJNR Am J Neuroradiol. 2013;34(1):5-13. doi:10.3174/ajnr.A2832. 2. Muenzer J. The mucopolysaccharidoses: a heterogeneous group of disorders with variable pediatric presentations. J Pediatr. 2004;144(suppl 5):S27-S34. 3. Solanki GA, Martin KW, Theroux MC, et al. Spinal involvement in mucopolysaccharidosis IVA (Morquio-Brailsford or Morquio A syndrome): presentation, diagnosis and management. J Inherit Metab Dis. 2013;36(2):339-355. doi:10.1007/s10545-013-9586-2. 4. White DA, Connor LT, Nardos B, et al. Age-related decline in the microstructural integrity of white matter in children with early- and continuously-treated PKU: A DTI study of the corpus callosum. 2010;99(suppl 1):S41-S46. doi:10.1016/j.ymgme.2009.09.016.
References: 1. Chiang J, Raiman J, Cutz E, Solomon M, Dell S. Tachypnea of infancy as the first sign of Sanfilippo syndrome. Pediatrics. 2014;134(3):e884-e888. doi:10.1542/peds.2013-2765. 2. Muhlebach MS, Wooten W, Muenzer J. Respiratory manifestations in mucopolysaccharidoses. Paediatr Respir Rev. 2011;12(2):133-138. doi:10.1016/j.prrv.2010.10.005. 3. Santamaria F, Andreucci MV, Parenti G, et al. Upper airway obstructive disease in mucopolysaccharidoses: polysomnography, computed tomography and nasal endoscopy findings. J Inherit Metab Dis. 2007;30(5):743-749. doi:10.1007/s10545-007-0555-5. 4. Berger KI, Fagondes SC, Giugliani R, et al. Respiratory and sleep disorders in mucopolysaccharidosis. J Inherit Metab Dis. 2013;36(2):201-210. doi:10.1007/s10545-012-9555-1.
References: 1. Lehman TJA, Miller N, Norquist B, Underhill L, Keutzer J. Diagnosis of the mucopolysaccharidoses. Rheumatology. 2011;50(suppl 5):v41-v48. 2. Wood T, Bodamer OA, Burin MG, et al. Expert recommendations for the laboratory diagnosis of MPS VI. Mol Genet Metab. 2012;106(1):73-82. doi:10.1016/j.ymgme.2012.02.005. 3. Cimaz R, Coppa GV, Koné-Paut I, et al. Joint contractures in the absence of inflammation may indicate mucopolysaccharidosis [hypothesis]. Pediatr Rheumatol Online J. 2009;7:18. doi:10.1186/1546-0096-7-18. 4. Muenzer J, Beck M, Eng CM, et al. Long-term, open-labeled extension study of idursulfase in the treatment of Hunter syndrome. Genet Med. 2011;13(2):95-101. doi:10.1097/GIM.0b013e3181fea459. 5. Hendriksz C. Improved diagnostic procedures in attenuated mucopolysaccharidosis. Br J Hosp Med. 2011;72(2):91-95. 6. Morishita K, Petty RE. Musculoskeletal manifestations of mucopolysaccharidoses. Rheumatology. 2011;50(suppl 5):v19-v25. doi:10.1093/rheumatology/ker397. 7. Solanki GA, Martin KW, Theroux MC, et al. Spinal involvement in mucopolysaccharidosis IVA (Morquio-Brailsford or Morquio A syndrome): presentation, diagnosis and management. J Inherit Metab Dis. 2013;36(2):339-355. doi:10.1007/s10545-013-9586-2.
References: 1. Ashworth JL, Kruse FE, Bachmann B, et al. Ocular manifestations in the mucopolysaccharidoses – a review. Clin Experiment Ophthalmol. 2010;38(suppl 1):12-22. doi:10.1111/j.1442-9071.2010.02364.x. 2. Fahnehjelm KT, Ashworth JL, Pitz S, et al. Clinical guidelines for diagnosing and managing ocular manifestations in children with mucopolysaccharidosis. Acta Ophthalmol. 2012;90(7):595-602. doi:10.1111/j.1755-3768.2011.02280.x.
References: 1. Braunlin EA, Harmatz PR, Scarpa M, et al. Cardiac disease in patients with mucopolysaccharidosis: presentation, diagnosis and management. J Inherit Metab Dis. 2011;34(6):1183-1197. doi:10.1007/s10545-011-9359-8. 2. Mohan UR, Hay AA, Cleary MA, Wraith JE, Patel RG. Cardiovascular changes in children with mucopolysaccharide disorders. Acta Paediatr. 2002;91(7):799-804. 3. Lachman R, Martin KW, Castro S, Basto MA, Adams A, Teles EL. Radiologic and neuroradiologic findings in the mucopolysaccharidoses. J Pediatr Rehabil Med. 2010;3(2):109-118. doi:10.3233/PRM-2010-0115. 4. Hendriksz C. Improved diagnostic procedures in attenuated mucopolysaccharidosis. Br J Hosp Med. 2011;72(2):91-95.